• Home
  • About Us
  • Journals
  • Articles
  • Author Guidelines
  • Policies
  • Contact Us

Articles

Articles

Our Articles

Right coronary artery injury after tricuspid ring annuloplasty

Image Article- Volume 1, Issue 2 (2022)
Journal of Cardiology & Cardiac Surgery
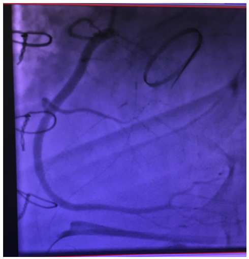
Right coronary artery injury after tricuspid ring annuloplasty
 Jean-Paul Remadi   Solesne Vasse   A Nzomvuama

Article Views : 49

Multiple Sizeable Left Ventricular Thrombi in a Patient with Anti-Phospholipid Syndrome

Case Report- Volume 1, Issue 2 (2022)
Journal of Cardiology & Cardiac Surgery
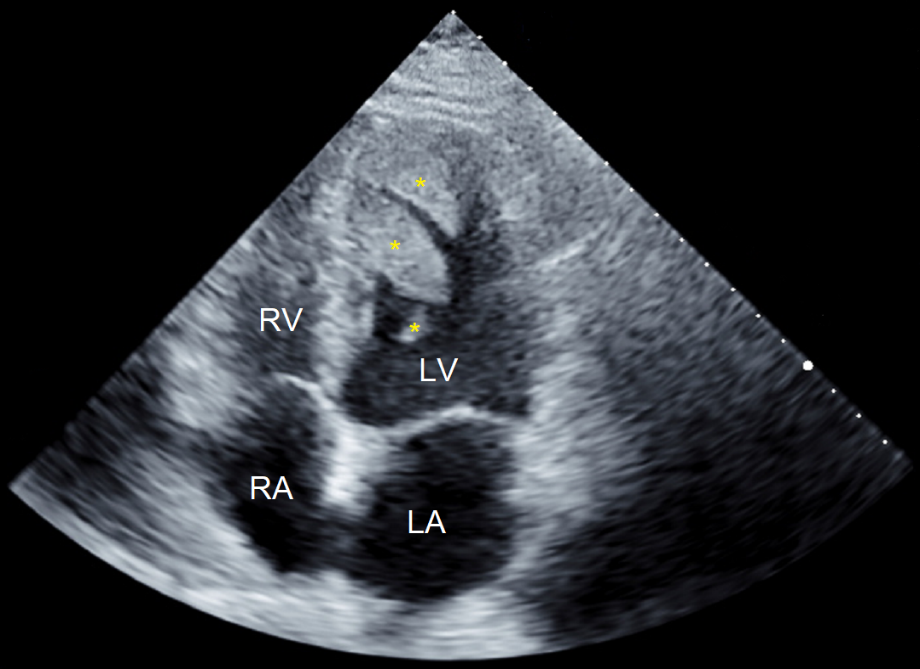
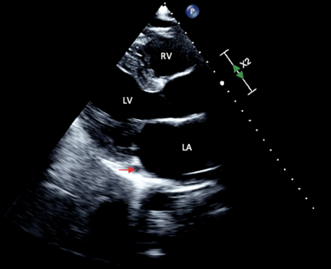
Multiple Sizeable Left Ventricular Thrombi in a Patient with Anti-Phospholipid Syndrome
 Eunice Chuah   Christopher Alan Brooks   Ferris Touma   George Lau

Article Views : 42

What has Changed in the Management of Bladder Cancer in 2021?

Commentary- Volume 1, Issue 1 (2021)
Archives of Nephrology & Urology Studies
What has Changed in the Management of Bladder Cancer in 2021?
 Krishna Mohan Boopathy Vijayaraghavan

Article Views : 55

Comparison of Sensation Event Descriptors in Participants with Overactive and Normal Bladders during Non-Invasive Hydration Studies

Research Article- Volume 1, Issue 1 (2021)
Archives of Nephrology & Urology Studies
Comparison of Sensation Event Descriptors in Participants with Overactive and Normal Bladders during Non-Invasive Hydration Studies
 Blessan Sebastian   Natalie R. Swavely   Dhruv Sethi   Anna S. Nagle   Devina Thapa   Naomi N. Vinod   Zachary E. Cullingsworth   Andrea K. Balthazar   Adam P. Klausner   John E. Speich

Article Views : 53

Spontaneous Coronary Artery Dissection: An Overview of Pathophysiology, Diagnosis, and Management

Review Article- Volume 1, Issue 2 (2021)
Journal of Cardiology & Cardiac Surgery
Spontaneous Coronary Artery Dissection: An Overview of Pathophysiology, Diagnosis, and Management
 Usman Sarwar   Nikky Bardia   Hassan Tahir   Ali Hussain   Amod Amritphale

Article Views : 131

Lambl's Excrescences and Congenital Heart Disease: Could they Increase the Risk of Ischemic Stroke in Adults? A New Research Perspective

Short Communication- Volume 1, Issue 2 (2021)
Journal of Cardiology & Cardiac Surgery
Lambl's Excrescences and Congenital Heart Disease: Could they Increase the Risk of Ischemic Stroke in Adults? A New Research Perspective
 John Jairo Araujo   Daniela Alvarez Rendón   Rafael José Meza

Article Views : 115

Reliability and Validity of a Questionnaire to Estimate Satisfaction Level of Cardiac Critical Care Nursing Students in with Virtual Education COVID-19 Pandemic Era

Research Article- Volume 1, Issue 2 (2021)
Journal of Cardiology & Cardiac Surgery
Reliability and Validity of a Questionnaire to Estimate Satisfaction Level of Cardiac Critical Care Nursing Students in with Virtual Education COVID-19 Pandemic Era
 Behshid Ghadrdoost   Parham Sadeghipour   Ata Firouzi   Farshad Shakerian   Reza Kiani   Alireza Rashidinejad   Zahra Hosseini   Saeideh Mazloomzadeh   Fidan Shabani   Bahram Mohebbi

Article Views : 37

The Role of Endoplasmic Reticulum Stress-Mediated Apoptosis in Vascular Calcification of Chronic Kidney Disease

Review Article- Volume 1, Issue 1 (2021)
Archives of Nephrology & Urology Studies
The Role of Endoplasmic Reticulum Stress-Mediated Apoptosis in Vascular Calcification of Chronic Kidney Disease
 Lin Jiang   Lingling Wang   Lingyun Wang   Chen Jiang

Article Views : 56

Long-term Results of Stentless Bio-Conduits for Bentall Operation

Research Article- Volume 1, Issue 1 (2021)
Journal of Cardiology & Cardiac Surgery
Long-term Results of Stentless Bio-Conduits for Bentall Operation
 Guglielmo Stefanelli   Fabrizio Pirro   Fabio Sgura   Antonio D’Adamo   Luca Weltert

Article Views : 146

Pet Ownership and Pet-Walking after Acute Myocardial Infarction:  A Pet for Every Heart Attack

Mini Review- Volume 1, Issue 1 (2021)
Journal of Cardiology & Cardiac Surgery
Pet Ownership and Pet-Walking after Acute Myocardial Infarction: A Pet for Every Heart Attack
 Sagheer Shazib   James C. Blankenship

Article Views : 168

Persistent Left Superior Vena Cava with Unusual Drainage

Case Report- Volume 1, Issue 1 (2021)
Journal of Cardiology & Cardiac Surgery
Persistent Left Superior Vena Cava with Unusual Drainage
 Sanjana Shah   Abhisheik Prashar   Victar Hsieh   George Youssef   Walid Matar   Queenie Lo

Article Views : 83

Use of CHA2DS2-VASc Score In Patients Without Atrial Fibrillation: Review Of Literature

Review Article- Volume 1, Issue 1 (2021)
Journal of Cardiology & Cardiac Surgery
Use of CHA2DS2-VASc Score In Patients Without Atrial Fibrillation: Review Of Literature
 Hassan Tahir   Usman Sarwar   Ali Hussain   Muhammad Umer Awan   Sajjad Ahmad   Muhammad Shabbir Ijaz   James Livesay   Raj Baljepally

Article Views : 166

Age Role in the Clinical Management of Urological Cancers

Review Article- Volume 1, Issue 1 (2021)
Archives of Nephrology & Urology Studies
Age Role in the Clinical Management of Urological Cancers
 Nazario Foschi   Marco Campetella   Luca Di Gianfrancesco   Mauro Ragonese   Pierluigi Russo   Pierfrancesco Bassi

Article Views : 150

QT Interval Changes in Patients Receiving SARS-COV2 Treatments

Research Article- Volume 1, Issue 1 (2021)
Journal of Cardiology & Cardiac Surgery
QT Interval Changes in Patients Receiving SARS-COV2 Treatments
 Saeide Bahrani   Mehrzad Salmasi   Masoumeh Sadeghi   Fatemeh Nouri   Hamidreza Roohafza   Forogh Soltaninejad   Zahra Teimouri-jervekani

Article Views : 99

Influence of Ventricular Ectopic Beats in Patients with Congenital Heart Disease

Research Article- Volume 1, Issue 1 (2021)
Journal of Cardiology & Cardiac Surgery
Influence of Ventricular Ectopic Beats in Patients with Congenital Heart Disease
 Liska J Hoppe   Franziska Markel   Anna Michaelis   Michael Weidenbach   Ingo Daehnert   Frank-Thomas Riede   Roman A Gebauer  Christian Paech

Article Views : 166

Ocular manifestations of Zika virus: A systematic review

Review Article- Volume 1, Issue 1 (2021)
Journal of Ophthalmology, Eye Disorder & Treatments
Ocular manifestations of Zika virus: A systematic review
 Carrie Yuen Ling Chan   Sunny Chi Lik Au

Article Views : 122

Cardiovascular Clinical Research must go on even in the Outbreak of COVID-19

Editorial- Volume 1, Issue 1 (2021)
Journal of Cardiology & Cardiac Surgery
Cardiovascular Clinical Research must go on even in the Outbreak of COVID-19
 John Jairo Araujo

Article Views : 195

Rajaie Cardiovascular Medical and Research Tertiary Heart Center Left Main Percutaneous Intervention Registry: RHC-LM Registry

Research Article- Volume 1, Issue 1 (2021)
Journal of Cardiology & Cardiac Surgery
Rajaie Cardiovascular Medical and Research Tertiary Heart Center Left Main Percutaneous Intervention Registry: RHC-LM Registry
 Zahra Hosseini   Khatereh Dehghani   Hamid Shahin far   Ali Sarreshtehdari   Ehsan Khalilipur   Bahram Mohebbi   Mohammad Javad Alemzadeh-Ansari   Mehran Karimzadeh Jouzdani   Parvin Mangolian Shahrbabaki   Ata Firouzi   Seifollah Abdi   Mohsen Maadani   Ali Zahed Mehr   Reza Kiani   Farshad Shakerian   Alireza Rashidinejad

Article Views : 418

Multiple Sclerosis in a COVID-19 Pandemic Scenario

Editorial- Volume 1, Issue 1 (2021)
Journal of Neurology and Neurological Infections
Multiple Sclerosis in a COVID-19 Pandemic Scenario
 Elisabetta Signoriello

Article Views : 227

MediJournalsHub

1129 W Yorkshire DR
Phoenix, AZ 15027
United States

For any Queries:
contact@medijournalshub.org

Submissions:
submissions@medijournalshub.org

Useful Links

  • Home
  • About Us
  • Journals
  • Articles
  • Author Guidelines
  • Policies
  • Contact Us

Browse by Discipline

  • Neurology
  • Cardiology
  • Ophthalmology
  • Nephrology
  • Virology

Join Our Newsletter

You will get Article Alerts from us by Subscribing to our Newsletter

* Please enter email id to Subscribe
MediJournalsHub work is licensed under a Creative Commons Attribution 4.0 International License Creative Commons Licence
© Copyright MediJournalsHub. All Rights Reserved